14 Квітня, 2026

Менінгіома — це одна з найпоширеніших пухлин головного мозку, яка утворюється з оболонок, що його покривають. Хоча більшість таких утворень є доброякісними, питання, чи можливе повторне зростання менінгіоми після її видалення, хвилює багатьох пацієнтів. Адже навіть після успішної операції ризик рецидиву існує, і він залежить від багатьох факторів. Більше про те, які можуть бути наслідки операцій, можна дізнатися на сторінці — https://time.org.ua/naslidky-pislya-vydalennya-meningiomy/.

Причини, чому менінгіома може вирости знову

Менінгіоми здебільшого ростуть повільно, але мають властивість повертатися, навіть після повного видалення. Основними причинами рецидиву є:

  • неповне видалення пухлини через її складне розташування;
  • наявність мікроскопічних залишків клітин, які не видно під час операції;
  • злоякісний або атиповий тип менінгіоми;
  • генетичні особливості організму пацієнта;
  • індивідуальні особливості кровопостачання в ділянці пухлини.

Якщо хірург не може повністю прибрати пухлину через близькість до важливих ділянок мозку, існує більша ймовірність її повторного росту. Також у разі, коли менінгіома має вищий ступінь агресивності, вона схильна повертатися навіть після ретельного лікування.

Як часто виникає повторна менінгіома

За даними медичних досліджень, повторне зростання пухлини може спостерігатися приблизно у 10–30% випадків. Однак цей показник залежить від типу менінгіоми:

  • доброякісні (I ступінь) — рецидиви спостерігаються рідко, зазвичай через 10–15 років;
  • атипові (II ступінь) — можуть з’явитися знову протягом 3–5 років після операції;
  • злоякісні (III ступінь) — часто повертаються вже за 1–2 роки.

Тому після операції пацієнтам рекомендують проходити регулярні обстеження, особливо в перші роки, щоб вчасно виявити можливі зміни.

Ознаки, які можуть вказувати на рецидив

Повторне зростання менінгіоми не завжди одразу проявляється симптомами. Але якщо пухлина починає тиснути на навколишні тканини, людина може відчути знайомі ознаки:

  • головні болі, що посилюються з часом;
  • порушення координації та рівноваги;
  • зниження зору або слуху;
  • оніміння або слабкість у кінцівках;
  • зміни пам’яті, уваги чи поведінки.

При появі подібних симптомів потрібно негайно звернутися до лікаря та пройти магнітно-резонансну томографію.

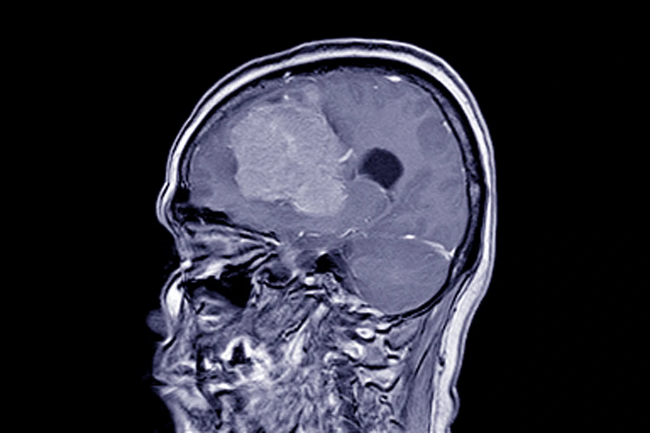
Методи виявлення повторного росту пухлини

Сучасна медицина дозволяє виявити навіть незначні зміни після операції. Для контролю стану пацієнта використовують:

  • МРТ головного мозку — основний метод спостереження;
  • КТ із контрастом, якщо потрібна додаткова точність;
  • аналізи крові для оцінки загального стану;
  • неврологічне обстеження для виявлення порушень у роботі нервової системи.

Зазвичай МРТ рекомендують робити через 3–6 місяців після операції, а потім щорічно. Якщо ризик рецидиву високий, контроль проводять частіше.

Як лікують повторні менінгіоми

У випадку, коли пухлина з’являється знову, можливі кілька варіантів лікування:

  • повторна хірургічна операція, якщо новоутворення доступне для видалення;
  • радіохірургія (гамма-ніж або кібер-ніж) — безопераційний метод, який знищує клітини пухлини за допомогою променів;
  • променева терапія, якщо операція неможлива або залишилися мікроскопічні клітини;
  • медикаментозне лікування — використовується для зменшення симптомів і підтримки стану пацієнта.

Рішення щодо методу лікування приймає нейрохірург разом з онкологом після детального аналізу знімків та загального стану людини.

Фактори, які впливають на прогноз

Ризик повторного росту залежить не лише від типу пухлини, а й від низки інших чинників. Серед них:

  • вік пацієнта (у молодших ризик дещо вищий);
  • локалізація пухлини (важкодоступні місця — основа черепа, біля судин, зорового нерва);
  • якість проведеної операції;
  • супутні хвороби, що впливають на відновлення.

Ключову роль відіграє спостереження після операції. Якщо пацієнт регулярно проходить обстеження, є можливість вчасно помітити навіть незначний ріст пухлини і розпочати лікування на ранньому етапі.

Як запобігти рецидиву менінгіоми

Хоча повністю уникнути повторного росту пухлини неможливо, можна значно зменшити ризик. Для цього варто дотримуватись таких порад:

  • проходити регулярні огляди у нейрохірурга або онколога;
  • виконувати всі рекомендації лікаря щодо способу життя;
  • уникати сильного стресу та перевтоми;
  • контролювати тиск і рівень гормонів;
  • слідкувати за сном, харчуванням і фізичною активністю.

Також варто пам’ятати, що після операції організму потрібен час на відновлення. Надмірне навантаження чи нехтування лікуванням можуть погіршити стан і підвищити ризик ускладнень.

Повторне зростання менінгіоми після її видалення можливе, але своєчасне спостереження, сучасні методи діагностики та комплексне лікування дозволяють контролювати ситуацію. Найважливіше — не ігнорувати профілактичні обстеження та уважно ставитися до будь-яких змін у самопочутті. Сьогодні медицина має всі можливості, щоб допомогти людині жити повноцінно навіть після таких складних операцій.

Залишити відповідь

Ваша e-mail адреса не оприлюднюватиметься. Обов’язкові поля позначені *